(RxWiki News) Lately, many new medical evaluations seem to be pointing to blood and brain tests to diagnose Alzheimer’s Disease (AD) in its early stages. But can it be that simple?
Researchers recently reviewed all the evidence about blood tests and brain scans that show promise for helping doctors diagnose AD.
They found there is still not a clear medical test that can diagnose AD in its early stages.
Researchers have been looking for ways to diagnose AD early – before symptoms show up. They are hoping this will lead to better outcomes for people.
"Talk to your doctor about dementia risk."
Maciej Lazarczyk, of the Department of Mental Health and Psychiatry at the University of Geneva in Switzerland, and colleagues looked at the published studies for biomarkers of AD.
Biomarkers is the term used for signs of AD that can be measured through medical tests. In their review, they discuss how higher levels of beta amyloid in the blood or brain have been linked to higher risk of AD.
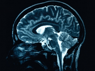
Brain scans, like positron emission topography (PET) and magnetic resonance imaging (MRI), have also been used to look for signs of plaques and tangles in the brain.
Other studies have looked at genetic risk, like the APoE4 gene, which is linked to early onset AD. Together, many of the techniques show promise, but none of them can accurately tell who will develop AD and who will not.
Some people with biomarkers for AD do go on to develop the disease. Some people with biomarkers never develop AD. Not everyone with a biomarker goes on to develop memory or thinking problems.
They concluded, “Preclinical AD markers may represent a double-edged sword.”
Biomarkers can define a group of people at risk – but a fair number of people in this category will remain stable for long periods of time and may never develop AD.
Researchers don’t yet understand how these biomarkers relate to the way AD develops. Until more research is done, a medical test for AD is still not available.
This review was published October 25 in BMC Medicine. The authors report no financial conflicts of interest. Funding information for this review was not included in the article.





